编者按:
又是一年盛夏七月,转眼一轮寒暑过往。北京大学人民医院第五批“组团式”援藏医疗队已经扎根世界屋脊开展医疗帮扶工作整整一年了,在提升医疗技术、学科建设、人才培养等同时,也让医学交叉学科最前沿的科技新风吹向了这奇丽的雪域高原。
经历过军旅淬炼的北京大学人民医院神经外科专家伍刚,作为第五批“组团式”援藏专家,始终致力于让交叉学科助力高原神经外科临床工作提升。让我们看看他的援藏日记,听听他的所感、所想、所为。
去年此时,当进藏的航班越上雪域的云端,领导和同事送别声依稀在伍我的耳畔回响。
思绪中除了对亲人的丝丝牵挂,还有一个问题久久萦绕在我的心头——远离故土亲友,我此行目的究竟为了什么?我究竟能给西藏带来什么?一年来,在与雪山比肩的海拔上生活工作,这个问题时时刻刻在警醒着我、鞭策着我,让我深思,更让我笃行。
思考一:让人工智能技术应用于高原自发性脑出血临床评估及治疗
脑出血,脑干受压!
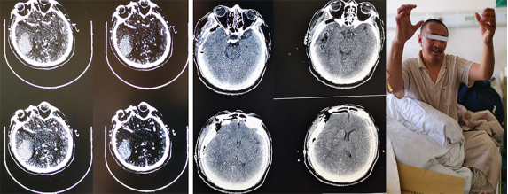
凌晨,一位来自西藏那曲的大叔,紧急急诊入院。入院时已然意识昏迷,呼之不应,查体不合作。头颅CT及CTA提示右侧颞叶大面积出血,出血量估计在40ml左右,脑干已经有受压征象,手术指征明确。
当我仔细查看急诊增强CT片时,发现血肿病灶内的增强点征——目前被认为是血肿继续扩大的金指标。如果不做手术,患者较大可能会出现严重神经系统并发症甚至死亡。
年富力强的大叔是家里的顶梁柱,当我们向家属交代病情后,一家人焦虑不安的眼神,让我心里咯噔地悸动了一下。
时间就是生命
在藏区做手术,无论从观念还是经济上,对家庭对患者本人都是巨大挑战,往往犹豫不决难以抉择,更别说确实存在高风险性的神经外科手术了。疾病造成的脑皮层/神经纤维束的损伤以及可能追加的各种并发症,而这些只有在后期才得以显现。虽然,我对清除脑内血肿有充足的信心,但是还是要把围手术期的各种风险说清楚。
因为有语言沟通障碍,家属仍显得踌躇犹豫。时间不等人,对于脑出血的患者来说,时间就是脑细胞、就是功能、就是预后。灵机一动,我把手机里的储存的一段脑出血健康教育视频播给家属看,并反复说明手术的必要性。直观的讲述、生动的画面,终于打破了僵局,家属同意接受手术。
康复的微笑胜过千言万语
接下来,就是我们的主场,急诊行血肿清除术,术中探查发现血肿量确实比预估量的增加了一半多。术毕送走患者,完全松懈下来,才感觉到缺氧带来乏力和疲倦。所幸患者救治及时有效,复查CT血肿清除彻底。
出院时患者语言功能无大碍,左侧肢体活动力量已经有所改善。我们在给患者留影时,他漏出了略显僵硬的笑容,毕竟神经功能损伤还需要进一步康复,不过生活自理已不成问题。
对于每位医者而言,患者康复的一个微笑,有时胜过千言万语
科技服务于临床
脑出血是一直困扰高原群众的经常性 “大病”,其发病率要显著高于内地。挽救患者生命、降低并发症发生率,把常见病做的更好在这里显得尤为重要。
时至今日,高血压脑出血治疗方案仍存在些许差异,这不仅困扰患者和家属,对一线医生也会存在一些疑问。好的治疗方案也许就隐藏在以往的临床数据之中等待发掘。
人工智能技术在临床科研实践中崭露头角。我希望通过这种科技方法,给临床工作带来更多信息支持。在“组团式”援藏研究课题申报时,我也把准确把握脑出血救治时机的想法与科里同事交换了意见,得到了积极回应。
我们和西藏自治区人民医院神经外科团队联合申报了“人工智能技术应用于高原自发性脑出血临床评估及治疗”研究课题,希望用人工智能技术打造一条较硬的证据链条,服务于高原神经疾病的治疗工作,让科技的新风,为医疗援藏带来更多的生机与色彩。
思考二:多模态三维可视化技术实现手术路径模拟判断
被牦牛角顶穿的额头
午夜时分,又一位大叔从山南地区转诊过来。他是在晚间把牛赶回家时,由于山路昏暗崎岖,一头受惊的牦牛把犄角硬生生的顶进了他的额头,并甩在山坡上。所幸运的是被家人及时发现,背下山,一路转诊过来。由于伤情加重,加之山上天气寒冷,人到急诊时已经神志淡漠。
虽然在牧区,经常看到山坡上悠闲吃着牧草的牦牛,但是山路陡峭,牦牛能攀爬上去的山坡,常人却不一定有这能力到达。牧民工作也异常艰辛,超出常人的想象。他们冒着各种风险,受伤事情时有发生,伤情也较为复杂。
在急诊,牛角巨大的冲击力留下的骇人惨状令人触目惊心:患者眶上缘及额骨骨折脱位外翻皮外,前颅底组织破碎、残缺,筛窦、额窦开放,颅底硬膜缺损,脑脊液外渗,额底脑组织一处盲管伤。
毫不犹豫,快速准备,急诊予以损伤脑组织清创手术。
尽快!手术清创缝合
颅底骨折断端把硬膜撕扯残缺不整,正常的组织界限已经没有。完成了脑内挫伤组织的清创。我们在显微镜下仔细寻找着硬膜的断端,游离出1-2mm的空间,予以一期自体筋膜修补,水密试验确保缝合确实。开放的副鼻窦用自体筋膜封闭。双层封闭措施对于开放性颅脑创伤患者的预后改善是有很大帮助的。
此时眼球的眶脂体包膜就在视野之下。也许是患者在牦牛来袭的一瞬间下意识的低头,让眼球躲过了一劫。联合眼科检视解剖上完整无大碍。骨折片回纳固定,重建眶部及颅底结构,不至于术后出现面部的明显塌陷。再美容缝合额面部皮肤,尽可能地减少疤痕。
所幸患者术后恢复顺利没有出现颅内感染、脑脊液鼻漏、复视、眼球活动障碍等并发症,顺利出院。
科技让临床不断延伸
颅底复合损伤常伴有多种并发症,需要多个科室的MDT工作,也需要神经外科医生对自己工作领域的有效延伸。在北京大学人民医院神经外科工作期间,感谢刘如恩教授在颅底工作方面的指导和前瞻性的培训工作,让我有能力胜任复杂的手术局面,并把自己的工作转化为患者术后的康复。而这些工作中较为重要的一环是医生手术技能的迭代更新。
对于神经外科医生而言,三维可视化技术复现手术场景是较为直接的技术提高路径。通过三维可视化技术可以实现手术路径模拟,体位摆放模拟,多模态三维可视化技术整合到虚拟现实和增强现实应用之中,可有效提高术者对于术中情况的判断。
我们把一些前期工作与这里同事分享交流共同提高。也希望能够建立起具有高原特色的三维可视化模拟手术实验室,为这里的医疗工作增色添彩。
一年援藏医疗工作即将过去,回首这一年的些许成绩更多归功于自治区人民医院的同袍兄弟的鼎力支持。在这高原之上,能把人工智能技术、三维可视化技术这两个领域里自己熟悉的知识,与这里的同事分享并被认可,也是一件非常愉快的事情。
援藏医疗工作千头万绪,归根结底还是要提高“大病不出藏”的医疗能力。确定无疑的是,以患者医疗目标为导向的交叉学科发展并不会受地域限时,在哪里都有生机勃勃的土壤。
冲破海拔与距离的藩篱,打破临床与科技的壁垒,希望更多成熟先进的技术融入到医疗援藏工作中,就如同涓涓的冰川融水汇成滚滚奔腾的拉萨河,推动西藏人民健康生活水平不断向前。
附,专家简介:
伍刚,毕业于解放军军医进修学院,神经外科博士,主治医师。现任北京医学会神经外科分会转化医学学组委员。先后就职于解放军第三〇九医院,北京大学人民医院神经外科。先后完成部队及人民医院院内课题研究各一项。发表统计源期刊文章10余篇,SCI文章一篇。常年从事神经外科临床工作,致力于医学影像后处理技术在神经外科领域应用。主要专业从事周围神经外科疾病的诊断及治疗。
(供稿:北京大学人民医院“组团式”援藏医疗队 伍刚 责编:汪铁铮)









