疫情是一场大考,虽然疫情防控形势依然严峻,北京大学人民医院始终有条不紊有序运转,探索防疫与救治互联并行新模式。以责任和担当将“生命至上、人民至上”铭刻心间,书写着“人民医院为人民”的暖心答卷。
10月30日,十月最后一个周日,北京大学人民医院多学科协作为一名终末期酒精性肝硬化合并肝癌患者顺利实施同种异体肝移植手术,这是医院近5个月以来完成的第16例肝移植手术。
悔不当初 每日白酒1斤的代价
56岁的老杨,是一位地地道道的老北京,20多年“酒龄”, 30多年“烟龄”,豪爽又仗义,在同事朋友眼里特别“局气”。“一天一瓶二锅头,再来8瓶啤的漱漱口......”是老杨的日常。
7年前,正当壮年的他食不知味,脸色发灰,人渐消瘦,还出现了腹胀、乏力,尿黄有味,皮肤瘙痒的症状,医院一纸诊断书下来——酒精性肝硬化。
酒精性肝硬化,顾名思义,是与酒密切相关的肝脏不可逆性损伤。酒的化学成分为“乙醇”,进入体内后代谢分解成对肝脏有害的乙醛。长期持续的大量酗酒,会破坏肝细胞、肝小叶,造成酒精性肝病、酒精性脂肪肝,进而发展成酒精性的肝硬化。肝硬化没有特效药,治疗也只能尽量减慢向更坏发展,最好的办法,就是换肝。
“比我重的病人太多了,我只能等!”老杨无奈地等待。
3个月前,定期随诊的老杨,做肝脏彩超发现肝左外叶有一个28×18mm大小的“结节”,进一步增强核磁显示为“肝癌”。抱着最后的希望,十一过后,老杨慕名来到北京大学人民医院,找到肝胆外科副主任黄磊。
无比幸运 等到了匹配的肝源
住院后,在完善一系列检查后,证实老杨没有出现肝外的转移。加上肝硬化、肝癌的客观指征,明确其符合肝移植手术的条件。
“患者的肝脏损伤严重,虽经过了内科对症治疗,病情仍在发展,加之肝癌的出现,此时,肝移植是拯救生命的唯一办法。”肝胆外科主任高杰说。经过MDT多学科联合讨论,在评估老杨的心、肺、肾及血管功能等手术必备条件后,进行综合的评分测试。
接下来进入到医院伦理委员会审批流程,通过后再把相关文件和病人资料上传至中国人体器官分配与共享系统(COTRS),登记后就正式进入排队体系,在公平、公正、公开的分配原则下等待匹配的肝源。黄磊副主任介绍道:“按照分配的管理规定,病情更危重的患者,分配到捐献器官的几率会更大一些。”
超级幸运的是,与人民医院同属北京市北部片区具有人体器官获取组织(OPO)资质的另一家医院,按照COTRS区域优先和综合评定两大原则,老杨幸运地等到了匹配的肝源。
一场与生命竞速的肝脏移植战斗,打响了。
生命竞速 兵分四路精准对接
肝移植手术,通过取肝、修肝及吻合三个步骤,将患者旧肝切除后再植入健康肝脏的手术过程,是外科手术中风险最大、手术难度最高、手术过程最复杂的一个手术。整个过程需要多个学科默契、娴熟且紧密的配合。
10 月30日,周日的一大早,肝胆外科、手术室医护人员兵分四路,运送器官组、麻醉保障组、病肝切取组和供肝修整组,大家各司其职、分秒必争,要确保整个流程每个环节不出错,每一步都不敢有丝毫怠慢。
首先,供肝的获取和质量评估,是肝移植手术成功的一个重要环节。需要团队中的器官获取组织(OPO)对供肝功能进行充分的评估和维护,保证供肝切取手术过程中的精准与迅速,尽量缩短肝脏缺血时间,并将其安全转运到肝移植手术的北京大学人民医院。与此同时,另三组成员已经各就各位。
高质量麻醉是手术安全的第一道、也是最后一道防线。麻醉科姜柏林副主任医师、霍飞主治医师一起为老杨保驾护航。在麻醉、气管插管后,不仅要严密监测呼吸、循环、麻醉深度,还要紧盯三路输液通道,依据血检测指标及时调整用药、调节输液速度……还要时时观察出入量平衡情况。肝移植手术每个时期心、肺、肾脏重要脏器和内环境都在不断变化,需要通过各种监测手段所得到的数据进行分析后做出及时调整,让患者处于一个相对舒适和安全的状态。
肝胆外科高杰主任接过浸泡在4℃保存液中的供者肝脏,开始修肝。这是一项专业性极强的工作,不仅需要医生掌握极强的解剖学、生物力学和血流动力学知识。而且需要极其娴熟的操作基本功和耐心细致。高杰与助手小心翼翼地去掉周围的结缔组织、脂肪组织,清晰暴露门静脉、肝动脉、下腔静脉和胆管,尽量保留足够的长度便于术中吻合,再灌注营养液认真“查漏补缺”,让即将移植入老杨体内的肝脏尽可能地“修缮完美”。
黄磊副主任和高杰主任一起负责切除病肝和移植供肝两个环节。接受肝移植的患者往往病情复杂常常伴有凝血、心肺等功能异常,长期病变的肝脏往往“糟脆”不堪,切除病肝必须要“谨小慎微”。老杨的肝脏长期炎性侵害,肝门区的血管和周围组织严重粘连,在游离肝动脉、门静脉和胆总管时,遇到了不小的困难。在助手的配合下,黄磊仔细地将肝脏从周围组织游离出来,找到每一根与肝脏相连的重要血管和管道,尽量暴露足够视野,将病肝切除。
3个多小时过去了,终于进入到将供肝移植体内的关键时刻。因血管脆弱、细小,手术医生戴着专属2倍手术放大镜,依次吻合肝上下腔静脉、肝下下腔静脉、门静脉、肝动脉和胆管,一针、二针……共缝合了200余针。放开止血钳,血液顺利通过缝合口处,血管通畅,没有渗漏。
肝移植因手术极其复杂、患者肝功能衰竭、移植肝风险等原因,导致凝血功能异常,常常会引起术中大量出血和输血。“少出血、少输血,甚至不输血”成为肝移植团队面临的重要课题。在麻醉科、输血科的大力配合下,手术团队顺利将老杨的出血量降至最低,整个手术过程出血量不到200毫升,实现了肝移植手术“零输血”。
经过肝胆外科医生、麻醉医师和手术室护士等10名医务人员5个多小时的奋战,在吻合血管和管道“开闸”的那一刻,供体暗棕色的肝脏在患者体内变为鲜润的粉红色,胆囊也流出了金黄色胆汁……“手术这关,挺过来了!”
看着血供良好的肝脏,大家紧绷的心稍稍放松了一些。手术结束,老杨安返重症监护室(ICU)进一步观察。
ICU接棒 接力生命重启
“肝移植对患者来说,是一个巨大创伤性的手术。”ICU副主任医师周刚介绍道。此时,ICU积极对症处理,改善内环境,改善各器官功能,维持稳定的血流动力学稳定至关重要。因为血压心率稳定,移植肝脏有充分的血流,才有助于术后移植肝脏功能的恢复,而移植肝脏的成活直接关系到术后患者的恢复和预后。
同时,护理工作起着举足轻重的作用,综合评估、密切监测、管道维护、精准用药、标本采集、辅助检查、心理疏导、用药观察……一分一秒、一丝一毫,容不得半点儿放松。
腹腔出血、血管狭窄、血栓形成、排异反应、感染、胆道合并症等都是肝移植术后最为常见的并发症。而任何一种并发症的出现,后果均十分严重。为此,无创的床旁超声造影实时便捷、精准度高的动态显示肝脏微循环,分析移植后肝脏的灌注能力,对预测、评价移植术后并发症方面有重要价值。超声诊断科王雪介绍道:“一旦发现脏器活动性出血,我们肝移植团队可以立即进行超声引导下床旁穿刺活检,第一时间救治患者。”
术后当晚,老杨恢复自主呼吸,拔除了气管导管,随后可以自主咳嗽、翻身,吃流食了。术后第三天下地离床活动……“我明显感觉到自己在变好,今天是我的重生之日,我一定要好好珍惜,好好活!”
一丝红润映上他的脸颊,那是一场齐心协力的生命接力换来的生命曙光。
器官移植 外科手术皇冠上的明珠
移植成功的背后,是全院上下对器官移植工作的支持。
早在2000年5月18日,北京大学人民医院就成功实施第一例肝移植,2007年,医院就成为北京市最早一批具有肝、肾器官移植资质的医院,至今累积完成肝移植手术近千例,患者存活质量不断提高并居于全国前列,迄今最长存活者已超过20年。但随着供体的缺乏、政策的调整等多种原因,肝移植工作也走入过低谷。
近半年来,医院高度重视器官移植工作。器官移植是外科手术皇冠上的明珠,器官移植数量和质量,代表着医院整体医疗水平。
王俊院长指出:人民医院作为国家第一方阵,拥有19个国家卫生健康委临床重点专科和一大批优秀专家,有责任、有能力挑起国家医学进步和维护人民健康的重任。开展器官移植,可以用我们的技术为更多病人带来生的希望,同时促使各学科间密切配合、相辅相成。
医院在“搭平台、融资源、组团队、调流程、强配合”的原则下,开通了器官移植捐献和获取专用账户,引进专业人才和器官捐献协调员,重新成立院级器官获取组织(OPO),为移植手术的安全有序进行提供保障。新的院级OPO成立后,开展了卓有成效的器官移植捐献工作,扩大了供肝来源。
医院以朱继业、高杰、黄磊、李照等引领的肝移植专家团队,麻醉科、手术室、重症医学科、超声科、输血科、检验科、药学部等多学科齐心聚力、共促发展,近半年完成肝移植16例;近两月完成肾移植25例,其中儿童5例。今年9月,医院肝胆外科顺利申请成为北京市人体器官移植医师肝移植培训基地,为医院肝移植事业的稳步开展打好基石。
在当下疫情防控的关键时期,既要做好新冠疫情防控,又要确保医疗工作有序开展,肝胆外科在严格遵守医院的各项疫情防控政策的同时开展医疗工作,探索建立器官捐献、移植和随访工作常态化机制,保证急危重症患者的诊疗救治和恶性肿瘤等特殊人群的正常诊治工作。
二十余载砺剑,器官移植传递希望,近千名患者重获新生.一切因为生命至上,人民医院为人民!
(供稿:宣传中心 钟艳宇、肝胆外科 高杰 责编:汪铁铮)
团队心声
做好每一台肝移植手术,管好每一个肝移植病人,这是我和团队所有成员的共同愿望。
——肝胆外科 高杰主任
我们不仅要进行长时间的高难度手术,还要面对危重患者瞬息万变的病情,时刻准备迎接一个又一个对极限的挑战。但当从死亡边缘被救回的移植患者多年后特意来看望我们时,内心感到莫大的荣耀。
——肝胆外科 黄磊副主任
手术台旁,麻醉医生一心努力保证手术的平稳安静,尽力把一切不安定和风险先行“止于微末”,这些看似波澜不惊的效果,正是麻醉医生的专业素养。
——麻醉科 姜柏林副主任医师
没有直面患者、不在手术现场,但我们心系术间患者,做好血液保障,做生命救治的坚强后盾!
——输血科 侯瑞琴副主任
围手术期管理的好坏与高难度手术的成功息息相关,也是外科、麻醉、ICU等移植团队长期磨合的结果。为患者守好生命之门,是“ICU人”的使命。
——重症医学科 周刚 副主任医师
从术前到术后,超声评估结果,就像“定心丸”和“指南针”,为肝移植患者一路保驾护航,见证了一位位患者重获新生的转变。
——超声诊断科 王雪 副主任医师
肝脏移植手术,是一个生命对另一个生命的馈赠。四方手术间,三尺无菌台,无影灯下,咫尺之间,我们与医生为伍,与器械为伴,与时间赛跑,不负生命相托!
——手术室护士 匡思其护师

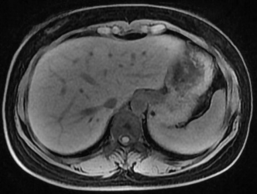
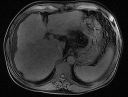
核磁检查,作为正常人肝脏,右为酒精性肝硬化(肝脏缩小,表面,凹凸不平,脾脏肿大)
MDT 多学科联合会诊,确定手术和治疗方案
麻醉医师姜柏林(左二)霍飞(左一)时刻关注手术进程和患者状态,丝毫不得马虎
高杰主任与助手小心翼翼“清理”供肝
主刀医生之一黄磊副主任(右一)与助手切除病肝
手术用时5小时38分
超声诊断科王雪(右二)床旁为患者行肝脏超声造影,并与ICU周刚医生(右一)交流
术后当晚,老杨恢复自主呼吸,拔除了气管导管,看到患者明显好转,ICU医务人员都由衷地为他高兴
术后三天病人下地,向医务人员伸出大拇指
病人转回普通病房,肝胆外科团队床旁查房,老杨表达感激之情









